3D Bunion Correction

Fixing Bunions At The Source
Advanced Treatment for Long-Lasting Bunion Relief
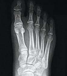
Bunions are more than a simple bump on the side of the foot — they are complex, three-dimensional deformities caused by an unstable joint at the base of the big toe. While many people assume a bunion can simply be “shaved off,” traditional procedures often fail to correct the true source of the problem. This is why bunions commonly return, leaving nearly 1 in 3 patients dissatisfied with prior surgical results.
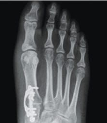
Lapiplasty® 3D Bunion Correction™ is a patented, cutting-edge procedure designed to correct the full 3-dimensional deformity rather than just removing the bump. By addressing the unstable joint and restoring the bone to its proper anatomical position, this procedure provides a more stable, lasting correction with faster recovery and improved function.


How Lapiplasty® 3D Bunion Correction™ Works
Unlike traditional bunion surgery that cuts and shifts the bone, Lapiplasty® uses advanced, precision instruments to rotate the entire deviated bone back into alignment. Titanium plating technology then secures the correction at the root of the deformity, stabilizing the joint and helping prevent recurrence.
Most patients can walk within days of surgery in a protective boot. No cast is required, and many individuals return to the shoe styles and daily activities they enjoy far sooner than with traditional procedures.



Frequently Asked Questions
How long is the recovery?
Most patients begin walking within days of surgery in a surgical boot. Many return to work within days to a couple of weeks. Comfortable shoes, such as athletic shoes, can often be worn around six weeks after surgery. High-impact activities should be avoided for 3–4 months, with most patients returning to full activity around the four-month mark.
Can I wear fashionable shoes again?
Yes. Most patients are able to return to their preferred shoes. However, results vary depending on individual comfort and the shoe style.
Can I play sports after surgery?
Once the bone is fully healed — typically around four months — patients can return to most sports and physical activities. There are no permanent activity restrictions.
Can Lapiplasty® be used after a failed traditional bunion surgery?
Yes. Lapiplasty® is often an excellent option for patients needing revision surgery and offers the benefit of correcting and stabilizing the foundational joint.
What does “reproducible” mean?
The Lapiplasty® procedure uses patented, precision-guided instruments to remove guesswork from bunion correction. This helps surgeons achieve consistent, reliable results across patients.
Is Lapiplasty® an outpatient procedure?
Yes. This surgery is typically performed as an outpatient procedure and generally takes under an hour unless additional procedures are required.
Start Your Journey to Wellness Today
Talk With Foot and Ankle Specialist Today!
Ready to take the first step towards healthier, pain-free feet? Contact us to schedule an appointment or to learn more about our foot and ankle services. Our dedicated podiatric team is here to provide personalized care and answer any questions you may have about your lower extremity concerns. Reach out today and let us help you achieve optimal foot health and mobility for an active lifestyle.

